Bọc răng sứ trong bao lâu thì xong? Đây là câu hỏi mà rất nhiều người thắc mắc khi chuẩn bị cải thiện nụ cười bằng phương pháp phục hình thẩm mỹ này. Nếu bạn cũng đang băn khoăn không biết mất bao nhiêu thời gian, có phải nghỉ dưỡng hay ảnh hưởng gì đến sinh hoạt không – thì bài viết này chính là dành cho bạn. Cùng tìm hiểu ngay nhé!
Bọc răng sứ trong bao lâu thì xong?
Trung bình, quá trình bọc răng sứ sẽ mất khoảng 2 – 3 ngày, tùy vào số lượng răng cần phục hình, tình trạng răng miệng hiện tại và máy móc mà phòng khám sử dụng. Với sự hỗ trợ của công nghệ CAD/CAM hiện đại, một số cơ sở nha khoa có thể hoàn tất toàn bộ quy trình chỉ cần 1 ngày mà vẫn đảm bảo độ chính xác và thẩm mỹ cao.

Khám phá quá trình bọc răng sứ
Cụ thể, nếu bạn chỉ bọc từ 1 – 2 răng và không gặp vấn đề về viêm nướu hay lệch khớp cắn, thì toàn bộ quá trình có thể diễn ra rất nhanh chóng. Tuy nhiên, đối với trường hợp cần điều trị tủy, viêm lợi hoặc phục hình nhiều răng cùng lúc, thời gian có thể kéo dài hơn để đảm bảo an toàn và hiệu quả.
Quy trình bọc răng sứ gồm những bước nào?
Hiểu rõ quy trình làm răng sứ thẩm mỹ sẽ giúp bạn chuẩn bị tốt hơn về tâm lý, thời gian và ngân sách trước khi bọc sứ. Dưới đây là 5 bước cơ bản của quá trình bọc răng sứ, cùng với thời gian ước tính cho từng bước:
1. Thăm khám và tư vấn
Bác sĩ sẽ kiểm tra tổng quát tình trạng răng miệng, chụp hình để đánh giá răng khểnh và lên kế hoạch điều trị chăm sóc phù hợp. Đồng thời, bạn cũng sẽ được tư vấn về loại sứ, màu sắc, hình dáng răng, cũng như chi phí làm răng sứ thẩm mỹ tương ứng với từng lựa chọn.
2. Chụp phim, lấy dấu răng

Chụp phim và lấy dấu răng
Bước này giúp bác sĩ phân tích chính xác vị trí răng cần bọc và thiết kế răng sứ phù hợp với khớp cắn, khuôn mặt. Hiện nay, nhiều phòng khám sử dụng máy scan kỹ thuật số thay vì lấy dấu truyền thống, giúp tiết kiệm thời gian và nâng cao độ chính xác.
3. Mài răng và lắp răng tạm
Răng thật sẽ được mài một lớp mỏng để tạo khoảng trống cho mão sứ. Sau đó, bạn sẽ được gắn răng tạm để đảm bảo ăn nhai và thẩm mỹ với thời gian chờ răng sứ chính thức.
4. Thiết kế và chế tác răng sứ
Dựa trên dấu răng đã lấy, labo sẽ tiến hành chế tác răng sứ phù hợp với từng khách hàng. Nếu cơ sở có máy móc hiện đại CAD/CAM, quá trình này có thể rút ngắn xuống còn vài giờ.
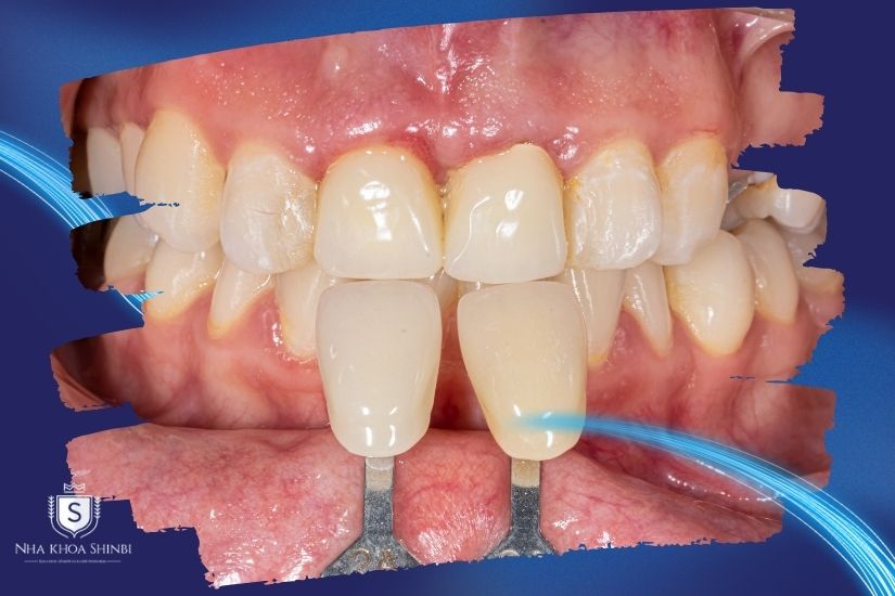
5. Lắp răng sứ cố định

Lắp răng sứ cố định
Khi răng sứ hoàn thành, bác sĩ sẽ gắn thử để kiểm tra độ khớp và thẩm mỹ. Sau khi đạt yêu cầu, răng sứ sẽ được cố định bằng keo chuyên dụng, hoàn tất quá trình phục hình.
Tổng thời gian thực hiện có thể dao động từ 1 đến 3 ngày, tùy theo tình trạng răng và máy móc tại nha khoa bạn lựa chọn.
Những yếu tố ảnh hưởng đến thời gian bọc sứ
Thời gian thực hiện bọc răng sứ không cố định, mà phụ thuộc vào nhiều yếu tố khác nhau. Dưới đây là những yếu tố chính có thể rút ngắn hoặc kéo dài thời gian phục hình:
Số lượng răng cần bọc
Nếu bạn chỉ bọc 1–2 răng, quá trình có thể hoàn tất chỉ vỏn vẹn 1 ngày. Tuy nhiên, nếu bạn lựa chọn làm răng sứ trọn bộ (toàn hàm), thời gian sẽ kéo dài hơn để đảm bảo độ chính xác, hài hòa và phù hợp với khớp cắn.
Tình trạng răng miệng ban đầu

Tình trạng răng miệng ban đầu
Răng có bệnh lý như sâu răng, viêm nướu, hay bị mòn nhiều sẽ cần được điều trị trước khi bọc sứ. Điều này làm tăng thời gian thực hiện nhưng lại là bước quan trọng giúp đảm bảo độ bền và tính thẩm mỹ của răng sứ đẹp như răng thật.
Tay nghề bác sĩ
Bác sĩ có nhiều kinh nghiệm và chuyên môn cao sẽ thao tác chính xác, rút ngắn thời gian mài răng, lấy dấu và gắn mão sứ. Ngoài ra, họ cũng sẽ đưa ra lời khuyên chính xác về việc nên làm răng sứ loại nào để phù hợp với nhu cầu và cấu trúc răng của từng người.
Cơ sở vật chất
Sự hỗ trợ của công nghệ làm răng sứ hiện đại như máy scan dấu răng kỹ thuật số, máy CAD/CAM, hay hệ thống chụp phim 3D giúp đẩy nhanh quy trình, tăng độ chính xác và rút ngắn thời gian chờ đợi cho khách hàng.
Loại răng sứ lựa chọn

Loại răng sứ lựa chọn
Một số loại răng sứ cao cấp như Emax hoặc Zirconia thường được chế tác tỉ mỉ hơn, đòi hỏi thời gian lâu hơn so với răng sứ kim loại thông thường. Tuy nhiên, đổi lại, bạn sẽ có được kết quả thẩm mỹ tự nhiên và độ bền lâu dài hơn, giúp tăng tuổi thọ cũng như là chất lượng của răng.
Bọc răng sứ có cần nghỉ dưỡng không?
Một trong những điểm cộng lớn của phương pháp bọc răng sứ là không cần thời gian nghỉ dưỡng như nhiều người vẫn lo lắng. Đây là một thủ thuật nha khoa ít xâm lấn, nên sau khi hoàn tất, bạn có thể quay lại sinh hoạt bình thường ngay.
Thời gian hồi phục nhanh
Sau khi lắp răng sứ cố định, hầu hết khách hàng chỉ cảm thấy hơi ê nhẹ sau vài giờ đầu, hoàn toàn không gây ảnh hưởng đến công việc hay sinh hoạt. Với những người có ngưỡng chịu đau thấp, nha sĩ có thể kê thêm thuốc giảm ê tạm thời.
Đối với những ai đang băn khoăn về việc răng khểnh có nên bọc sứ hay không, phương pháp này cũng rất phù hợp vì không đòi hỏi thời gian nghỉ dưỡng dài, giúp bạn nhanh chóng lấy lại nụ cười tự tin mà không gián đoạn cuộc sống.
Có thể ăn uống nhẹ ngay sau khi làm

Có thể ăn uống nhẹ
Ngay sau khi hoàn tất quy trình, bạn có thể ăn uống nhẹ nhàng với thức ăn mềm như cháo, súp, hoặc cơm nhão. Không cần kiêng khem quá nghiêm ngặt, chỉ nên tránh thức ăn quá cứng hoặc quá nóng ở ngày đầu tiên để răng sứ ổn định hoàn toàn.
Một số lưu ý nhỏ vào 1–2 ngày đầu
- Tránh dùng răng sứ mới để cắn trực tiếp đồ cứng.
- Đánh răng nhẹ nhàng, không chải mạnh.
- Súc miệng với nước muối loãng để kháng khuẩn.
- Tái khám đúng lịch để nha sĩ kiểm tra độ khít và khớp cắn.
Gợi ý top 3 địa chỉ làm răng sứ uy tín
Khi quyết định làm răng sứ, việc lựa chọn một phòng khám nha khoa uy tín là yếu tố then chốt để đảm bảo kết quả thẩm mỹ cũng như an toàn sức khỏe cho răng miệng.
1. Nha khoa Shinbi

Bác sĩ Hòa tại nha khoa Shinbi
Nha khoa Shinbi được biết đến là địa chỉ làm răng sứ uy tín ở Hà Nội với thiết bị tân tiến, chuyên sâu về phục hình răng sứ. Tại đây sở hữu hệ thống máy móc hiện đại như máy chụp X-quang 3D Cone Beam CT, máy quét CAD/CAM… giúp quy trình bọc sứ nhanh chóng, chính xác.
Đội ngũ bác sĩ có chuyên môn cao, từng tu nghiệp tại Mỹ, Hàn Quốc, Nhật Bản – trong đó có bác sĩ Nguyễn Văn Hòa, người sáng lập thương hiệu và là chuyên gia về lĩnh vực răng sứ thẩm mỹ.
Thông tin liên hệ:
2. Nha khoa WinSmile

Nha khoa Winsmile
Win Smile là hệ thống nha khoa chăm sóc răng miệng quốc tế với cơ sở tại Hà Nội và TP. HCM, nổi bật với các dịch vụ bọc sứ, dán sứ Veneer,chỉnh nha và trồng răng Implant. Phòng khám sở hữu đội ngũ bác sĩ chuyên môn cao, thiết bị hiện đại và cam kết đặt sức khỏe.
3. Nha khoa Việt Smile

Nha khoa Việt Smile là một lựa chọn đáng tin cậy
Việt Smile gây ấn tượng với không gian phòng khám hiện đại, dịch vụ chuyên nghiệp và mức giá rõ ràng. Phòng khám này nổi bật với đội ngũ bác sĩ giàu kinh nghiệm và công nghệ làm răng sứ được cập nhật thường xuyên.
Kết luận
Thời gian hoàn tất bọc răng sứ không cố định, mà thay đổi tùy theo tình trạng răng miệng cụ thể, số lượng răng cần bọc, công nghệ thực hiện và tay nghề bác sĩ. Trung bình, bạn có thể hoàn tất quy trình chỉ khoảng 2–3 ngày nếu mọi thứ thuận lợi. Tuy nhiên, để đảm bảo hiệu quả lâu dài và an toàn, bạn nên lựa chọn địa chỉ nha khoa uy tín, tư vấn kỹ càng và tuân thủ hướng dẫn từ chuyên gia.














