Nhổ răng cấm bao nhiêu tiền là câu hỏi thường gặp khi nhiều người cần thực hiện thủ thuật này nhưng còn băn khoăn về chi phí. Việc hiểu rõ mức giá và các yếu tố ảnh hưởng đến chi phí nhổ răng cấm sẽ giúp bạn chuẩn bị tốt hơn và chọn được địa chỉ nha khoa uy tín. Cùng Nha khoa Shinbi tìm hiểu chi tiết trong bài viết dưới đây nhé!

Răng cấm bị sâu nhiều
Khi nào cần nhổ răng cấm?
Răng cấm, hay còn gọi là răng hàm lớn, nằm ở vị trí số 6 và số 7 trong hàm. Đây là những chiếc răng quan trọng giúp nghiền nát thức ăn, hỗ trợ cho hệ tiêu hóa hoạt động hiệu quả. Khác với răng số 8 (răng khôn), răng cấm mọc từ khoảng 6-8 tuổi, còn răng khôn sẽ mọc từ 17-25 tuổi.

Răng cấm bị sâu
Nhổ răng cấm là biện pháp cuối cùng được bác sĩ chỉ định trong các trường hợp sau:
- Răng bị sâu nặng, không thể phục hồi bằng phương pháp trám hoặc bọc răng sứ.
- Viêm tủy răng nghiêm trọng, dẫn đến đau nhức kéo dài và nguy cơ lan rộng.
- Răng bị gãy, vỡ lớn không thể bảo tồn bằng các phương pháp nha khoa khác.
- Răng mọc lệch, mọc ngầm gây đau đớn hoặc ảnh hưởng đến các răng kế cận.
Nhổ răng cấm bao nhiêu tiền tại Nha khoa Shinbi
Nhổ răng cấm thường có giá từ 500.000 VNĐ đến 5.000.000 VNĐ mỗi răng. Chi phí nhổ răng cấm phụ thuộc vào nhiều yếu tố, bao gồm tình trạng răng, mức độ phức tạp và công nghệ sử dụng. Bảng giá nhổ răng cấm tại Nha Khoa Shinbi bạn có thể tham khảo:
| Dịch vụ nhổ răng | Nhổ răng thông thường (VNĐ) | Nhổ bằng máy Piezotome (VNĐ) |
| Nhổ răng cấm thông thường | 500.000 – 800.00 | 800.000 – 1.500.000 |
| Nhổ răng cấm phức tạp | 1.500.000 – 2.000.000 | 2.500.000 – 3.500.000 |
| Nhổ răng cấm mọc ngầm | 3.000.000 – 5.000.000 | 3.500.000 – 6.000.000 |
Lưu ý: Nhổ răng cấm giá bao nhiêu có thể thay đổi tùy thuộc vào tình trạng cụ thể của khách hàng. Để nhận báo giá chính xác, bạn nên đến trực tiếp Nha Khoa Shinbi để được thăm khám và tư vấn miễn phí.
Quy trình nhổ răng cấm an toàn tại Nha khoa Shinbi
Nhổ răng cấm rất phức tạp và đòi hỏi kỹ thuật cao để đảm bảo an toàn, hạn chế biến chứng. Tại Nha khoa Shinbi, quy trình nhổ răng cấm được thực hiện theo các bước chuẩn y khoa, đảm bảo an toàn tuyệt đối cho khách hàng.
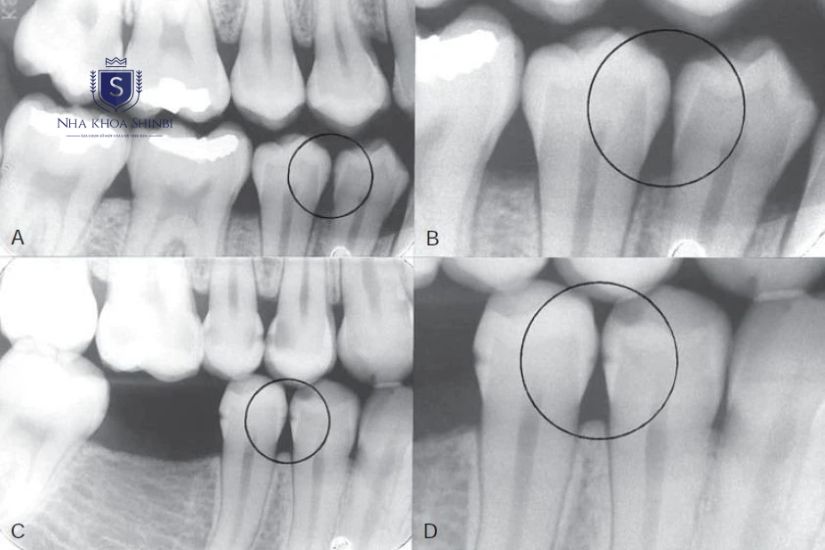
Chụp X-quang răng và lên kế hoạch điều trị
Đầu tiên, khách hàng sẽ được bác sĩ tiến hành kiểm tra tổng quát tình trạng răng miệng để đánh giá mức độ phức tạp của răng cấm cần nhổ. Sau đó, bác sĩ sử dụng công nghệ chụp X-Quang CBCT (Cone Beam Computed Tomography) hiện đại để xác định vị trí, kích thước, hướng mọc của răng, cũng như kiểm tra mối liên quan giữa răng với các cấu trúc quan trọng như dây thần kinh hay xương hàm.

Răng sâu dưới màn hình X-Quang
Dựa trên kết quả khám và X-quang, bác sĩ sẽ tư vấn cụ thể có nên nhổ răng đó hay không, nên thực hiện phương pháp nào, các bước thực hiện ra sao, cũng như những lưu ý quan trọng trước và sau nhổ răng cấm.
Vệ sinh răng miệng
Trước khi thực hiện nhổ răng, bác sĩ sẽ tiến hành làm sạch vùng răng miệng bằng dung dịch sát khuẩn chuyên dụng để ngăn ngừa nguy cơ nhiễm trùng. Toàn bộ các dụng cụ nha khoa và môi trường thực hiện đều được đảm bảo vô trùng tuyệt đối. Shinbi cam kết an toàn và sạch sẽ trong suốt quá trình nhổ răng.
Test tê, kiểm tra mạch, huyết áp
Để đảm bảo khách hàng không cảm thấy đau đớn hay khó chịu, bác sĩ sẽ sử dụng thuốc gây tê cục bộ tại vùng răng cần nhổ. Trong những trường hợp đặc biệt, như khách hàng có tâm lý căng thẳng hoặc răng cấm mọc phức tạp, bác sĩ có thể áp dụng thêm phương pháp Fibrin giàu tiểu cầu (PRF – Platelet Rich Fibrin) giúp giảm đau, giảm sưng nề và kích thích quá trình lành thương của bệnh nhân.

Mẫu máu của bệnh nhân khi quay li tâm để tạo Fibrin giàu tiểu cầu
Nhổ răng bằng máy rung siêu âm
Tại Nha khoa Shinbi, quá trình nhổ răng được thực hiện bằng các thiết bị hiện đại và kỹ thuật tiên tiến. Một trong những công nghệ nổi bật được ứng dụng là máy siêu âm Piezotome – thiết bị giúp tách răng ra khỏi xương hàm một cách nhẹ nhàng và chính xác, giảm chấn thương cho mô mềm và xương xung quanh.

Nhổ răng an toàn với chuyên gia bác sĩ Nguyễn Văn Hòa – Giám đốc Nha khoa Shinbi
Trong trường hợp răng cấm bị mọc lệch, mọc ngầm hoặc dính chặt vào xương, bác sĩ sẽ thực hiện cắt nướu hoặc chia nhỏ răng để dễ dàng loại bỏ. Quy trình được thực hiện cẩn thận và an toàn, không gây ảnh hưởng đến các dây thần kinh hay cấu trúc xung quanh.
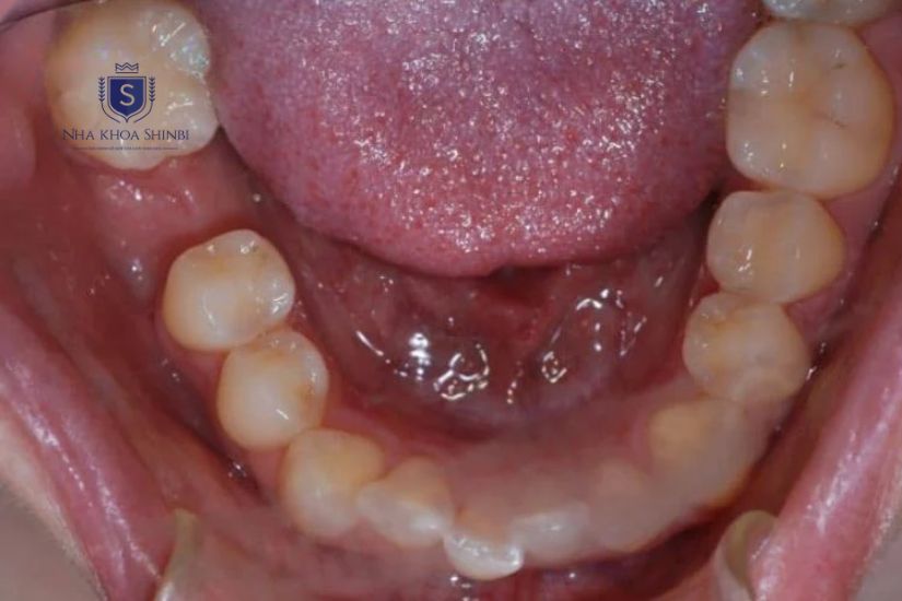
Kiểm tra và khâu lại vết thương
Sau khi nhổ răng, bác sĩ sẽ kiểm tra kỹ lưỡng vùng ổ răng để đảm bảo không còn bất kỳ mảnh răng nào sót lại. Đồng thời, bác sĩ sẽ cấy ghép màng tiểu cầu PRF – PRF được đặt vào ổ răng sau khi nhổ và khâu lại. Vết thương cũng sẽ được làm sạch và bảo vệ để hạn chế nguy cơ nhiễm trùng.
Kê đơn thuốc và dặn dò sau nhổ răng
Khi hoàn thành quá trình nhổ răng, bác sĩ sẽ kê đơn thuốc giảm đau, kháng sinh và thuốc chống viêm để hỗ trợ quá trình phục hồi. Đồng thời, khách hàng sẽ được hướng dẫn chi tiết cách chăm sóc tại nhà, bao gồm:
- Tránh ăn đồ nóng, cứng, cay hoặc uống nước có ga trong 24 giờ đầu.
- Không súc miệng mạnh hoặc sử dụng ống hút để tránh làm tổn thương ổ răng.
- Chườm đá lạnh bên ngoài má để giảm sưng trong 1-2 ngày đầu.
- Tái khám theo lịch hẹn để bác sĩ kiểm tra tình trạng hồi phục và xử lý kịp thời nếu có bất thường.
- Sau 7-10 ngày, bệnh nhân cần quay lại nha khoa, bác sĩ sẽ tiến hành cắt chỉ.

Răng cấm sau khi cắt chỉ
Chọn nhổ răng cấm ở Nha khoa Shinbi, quý khách hàng sẽ được sử dụng thiết bị tối tân như máy Piezotome, chụp X-quang Cone Beam CT giúp quy trình diễn ra nhanh chóng, an toàn. Được thực hiện bởi các bác sĩ tại Shinbi đều có nhiều năm kinh nghiệm và được đào tạo bài bản. Khách hàng sẽ được tư vấn kỹ lưỡng và theo dõi sát sao sau khi thực hiện nhổ răng.
Tạm kết
Nhổ răng cấm không còn là nỗi lo khi bạn lựa chọn Nha Khoa Shinbi. Với đội ngũ chuyên gia giàu kinh nghiệm và công nghệ hiện đại, chúng tôi cam kết mang lại cho bạn dịch vụ nhổ răng an toàn, không đau và tiết kiệm.
Nếu bạn vẫn còn thắc mắc về nhổ răng cấm bao nhiêu tiền thì hãy liên hệ ngay với Nha Khoa Shinbi qua hotline 096.257.87.37 để được tư vấn hỗ trợ hoàn toàn miễn phí!









![Răng lung lay có bọc sứ được không? [Bác sĩ giải đáp]](https://shinbi.vn/wp-content/uploads/2025/01/rang-lung-lay-co-boc-su-duoc-khong.jpg)