Phòng khám răng có kinh nghiệm điều trị cho bệnh nhân suy thận như Nha khoa Shinbi giúp bệnh nhân an tâm chăm sóc răng miệng mà không lo biến chứng. Với quy trình điều trị an toàn, bác sĩ hiểu sâu bệnh nền và thiết bị hiện đại, Shinbi là nơi điều trị lý tưởng cho người bệnh thận mạn tính hoặc đang chạy thận.
Vì sao bệnh nhân suy thận cần phòng khám nha khoa chuyên sâu?
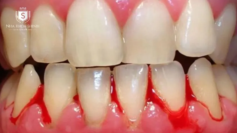
Tác động của bệnh suy thận đến sức khỏe răng miệng

- Hơi thở có mùi amoniac (uremic breath) do nồng độ urê trong máu cao
- Khô miệng kéo dài do hạn chế nước và tác dụng phụ của thuốc
- Loét miệng, viêm lợi dai dẳng, khó lành thương
- Giảm mật độ xương hàm, gây lung lay răng, tiêu xương răng
- Nguy cơ nhiễm trùng máu cao nếu không được vô trùng tuyệt đối trong can thiệp nha khoa
- Rối loạn đông máu, dễ chảy máu khi nhổ răng, cạo vôi hoặc điều trị viêm lợi
Rủi ro khi điều trị răng tại phòng khám không chuyên sâu
- Sử dụng thuốc chống chỉ định với người suy thận (NSAIDs, kháng sinh không phù hợp)
- Không kiểm soát được lượng máu chảy trong can thiệp
- Gây đau kéo dài hoặc nhiễm trùng răng miệng lan rộng
- Lịch điều trị xung đột với lịch lọc máu hoặc không phù hợp với thể trạng bệnh nhân
Shinbi – Phòng khám răng chuyên tiếp nhận bệnh nhân suy thận

Lý do Shinbi phù hợp với bệnh nhân suy thận
- Bác sĩ có kiến thức về nội khoa, thận học và dược lý học
- Trang thiết bị hiện đại hỗ trợ xử lý trong mọi tình huống lâm sàng
- Quy trình điều trị được thiết kế riêng cho từng người bệnh, không theo mô hình đại trà
- Có kinh nghiệm điều trị thành công cho nhiều bệnh nhân lọc máu, ghép thận
Thăm khám và đánh giá tiền sử bệnh lý
- Hỏi thăm về: Giai đoạn suy thận (1–5), thời gian, tần suất lọc máu, các loại thuốc đang dùng
- Đo huyết áp, nhịp tim, tình trạng toàn thân
- Xét nghiệm bổ sung (nếu cần): chức năng đông máu, creatinine, chỉ số viêm nhiễm
Lập kế hoạch điều trị phù hợp
- Điều trị chia nhỏ theo từng buổi, không kéo dài gây mệt mỏi
- Ưu tiên điều trị vào ngày sau lọc máu, khi bệnh nhân ổn định hơn
- Lựa chọn thủ thuật ít xâm lấn, tránh gây tổn thương mô nhiều
Phác đồ điều trị nha khoa cá nhân hóa
- Dùng thuốc giảm đau an toàn như Paracetamol, tránh Ibuprofen, Diclofenac
- Sử dụng kháng sinh không ảnh hưởng thận, như Amoxicillin, Clindamycin nếu cần
- Cầm máu hiệu quả bằng kỹ thuật khâu vi phẫu, thuốc cầm máu tại chỗ
- Tư vấn chăm sóc tại nhà: hướng dẫn vệ sinh răng đúng cách, lựa chọn bàn chải, kem đánh răng phù hợp
Đây là một câu trích dẫn thú vị và đầy cảm hứng từ bác sĩ nha khoa nổi tiếng người Mỹ Dr. Charles Mayo, đồng sáng lập phòng khám Mayo Clinic: “Người không chăm sóc răng miệng đúng cách sẽ phải trả giá bằng sức khỏe toàn thân.”
Thông tin liên hệ:
- Địa chỉ:
- Hà Nội: 33 Trần Quốc Toản, Hoàn Kiếm
- Hải Phòng: 233M Trần Nguyên Hãn, Lê Chân
- Bắc Ninh: 383B Nguyễn Trãi, Võ Cường
- Hotline: 0962.578.737
Dịch vụ Shinbi cung cấp cho bệnh nhân suy thận

Cạo vôi răng và vệ sinh răng miệng
- Thực hiện nhẹ nhàng, tránh làm tổn thương lợi
- Dùng máy siêu âm tần số thấp, đầu mảnh và ít rung
Trám răng sâu – phục hồi răng
- Dùng vật liệu sinh học lành tính (Composite Resin)
- Không tạo khoang trám sâu gây kích ứng tủy
Điều trị viêm tủy, tủy hoại tử
- Thực hiện trong môi trường vô trùng, giảm thiểu lây nhiễm
- Hạn chế thủ thuật dài, chia thành nhiều buổi nhỏ
Bọc răng sứ
- Áp dụng cho răng yếu, lung lay, nứt gãy nhẹ
- Không cần gây tê kéo dài, phù hợp với bệnh nhân có huyết áp không ổn định
Theo dõi và tái khám định kỳ
- Hẹn lịch ngắn hơn người bình thường (2–3 tháng/lần)
- Đánh giá sớm các dấu hiệu nhiễm trùng hoặc tổn thương răng miệng
Một vài câu hỏi thường gặp
Tôi đang dùng nhiều thuốc, có ảnh hưởng gì đến điều trị không?
- Bác sĩ tại Shinbi sẽ đánh giá tương tác thuốc và chọn phương án điều trị an toàn nhất.
Cấy ghép Implant có phù hợp với người suy thận?
- Thường không khuyến khích nếu xương hàm yếu và bệnh nền không ổn định. Có thể cân nhắc phục hình sứ thay thế.
Chi phí điều trị có cao hơn không?
- Không khác biệt, nhưng quy trình điều trị đòi hỏi sự theo dõi kỹ và kỹ thuật cẩn trọng hơn người bình thường
Tôi bị ghép thận – có thể điều trị nha khoa tại Shinbi không?
- Có. Shinbi có kinh nghiệm với bệnh nhân ghép tạng. Bác sĩ sẽ phối hợp với bác sĩ nội khoa nếu cần, đặc biệt với người đang dùng thuốc ức chế miễn dịch.
Có cần mang hồ sơ bệnh án thận khi đến khám răng tại Shinbi không?
- Rất nên mang theo để bác sĩ nắm được giai đoạn bệnh, thuốc đang dùng và các chỉ số gần nhất. Điều này giúp lên kế hoạch điều trị chính xác và an toàn hơn.
KẾT LUẬN
Với những bệnh nhân đang điều trị suy thận, chăm sóc răng miệng không chỉ đơn thuần là thẩm mỹ mà còn liên quan chặt chẽ đến sức khỏe toàn thân. Tuy nhiên, việc điều trị nha khoa ở đối tượng này đòi hỏi quy trình kiểm soát nghiêm ngặt và đội ngũ chuyên môn am hiểu sâu về bệnh nền.
Nha khoa Shinbi tự hào là phòng khám răng có kinh nghiệm điều trị cho bệnh nhân suy thận, nhờ vào hệ thống thiết bị hiện đại, quy trình chuyên biệt và đội ngũ bác sĩ chuyên sâu. Chúng tôi luôn xây dựng phác đồ điều trị an toàn dựa trên tình trạng y tế của từng bệnh nhân, phối hợp chặt chẽ với bác sĩ điều trị nền để đảm bảo hiệu quả và phòng ngừa mọi biến chứng có thể xảy ra.
Tại Shinbi, người bệnh suy thận hoàn toàn có thể yên tâm trải nghiệm các dịch vụ nha khoa nhẹ nhàng, hiệu quả, được theo dõi sát sao từ đầu đến cuối.
Shinbi – nơi chăm sóc sức khỏe răng miệng chuyên nghiệp, tận tâm cho những người cần sự quan tâm y khoa đặc biệt.










