Chi phí tháo răng sứ ra làm lại tại thời điểm hiện tại dao động từ 1.000.000 – 14.000.000 VNĐ/răng. Hãy để Shinbi Dental cung cấp cho bạn các yếu tố ảnh hưởng khi tháo răng sứ làm lại như các trường hợp nên làm lại, các rủi ro.
Các trường hợp cần tháo răng sứ làm lại
Bị hở chân răng, lộ viền đen
- Thường xảy ra khi bọc răng sứ kim loại, sau 2–3 năm phần nướu tụt xuống khiến phần sườn kim loại bị lộ. Ngoài ra, tay nghề bác sĩ yếu cũng khiến răng không ôm sát vào nướu.
- Nếu để lâu có thể dẫn tới viêm nướu, thức ăn có thể giắt vào khe hở gây hôi miệng. Hơn nữa có thể gây mất thẩm mỹ, nhất là răng cửa.
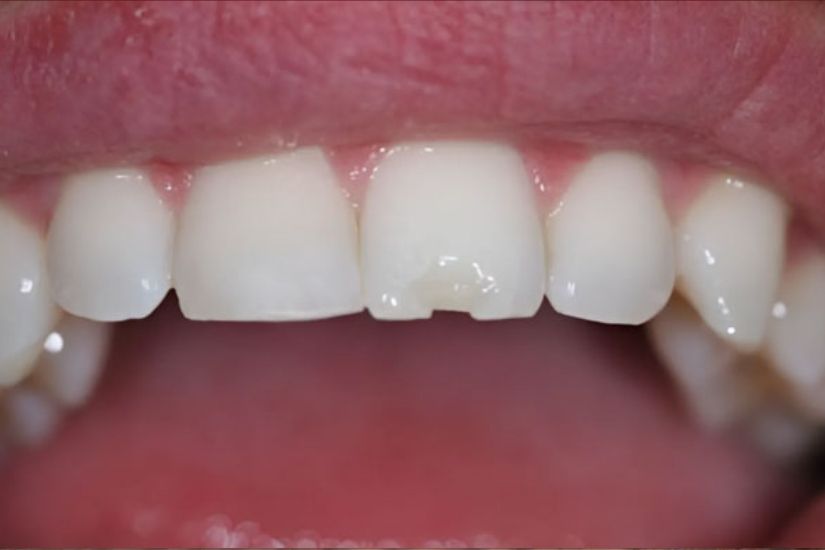
Bị nứt, vỡ, mẻ
- Do răng sứ kém chất lượng, chịu lực quá mạnh khi nhai hoặc va chạm. Ngoài ra, người có tật nghiến răng cũng dễ bị nứt sứ.
- Tạo ra cảm giác cấn, nhạy cảm khi nhai cắn. Có thể về lâu dẫn tới yếu răng, khó ăn nhai, tăng nguy cơ nhiễm trùng.

Răng bị nứt, vỡ, mẻ
Đau nhức, ê buốt kéo dài sau khi bọc sứ
- Có thể do các nha sĩ ít kinh nghiệm mài răng quá mức gây ảnh hưởng tủy, viêm tủy chưa được xử lý triệt để hoặc răng sứ chèn ép sai khớp cắn.
- Gây ra cảm giác ê buốt khi ăn đồ lạnh, đau âm ỉ nhiều ngày, đau nhức lan lên thái dương. Về lâu dài có thể gây viêm tủy nặng, áp xe chân răng nếu không được can thiệp kịp.
Bị xỉn màu, ố vàng hay xuống cấp
- Sử dụng răng sứ kim loại hoặc răng sứ kém chất lượng sau thời gian sử dụng dài.
- Răng có màu đục, không đều màu với các răng thật, nhìn cũ kỹ thiếu sức sống. Gây mất tự tin khi giao tiếp, ảnh hưởng thẩm mỹ gương mặt.
Khi muốn thay đổi nhu cầu thẩm mỹ, dáng răng
Người dùng không ưng ý với hình dáng, màu sắc hoặc sự tự nhiên của răng sứ cũ. Ngoài ra, xu hướng thẩm mỹ thay đổi khiến nhiều người muốn làm lại.
Những nguy cơ rủi ro khi tháo răng sứ làm lại

Những nguy cơ rủi ro khi tháo răng sứ làm lại
Tổn thương răng thật
- Khi tháo răng sứ không đúng kỹ thuật, phần răng trụ thật bên trong có thể bị mài mòn thêm, yếu đi hoặc gãy.
- Giảm tuổi thọ răng thật, không đủ điều kiện bọc lại răng sứ dẫn tới phải nhổ bỏ hoặc cắm implant, gây gia tăng chi phí.
Viêm tủy hoặc chết tủy
- Quá trình tháo răng sứ có thể tạo ra lực tác động mạnh, kích thích vào tủy răng nếu răng chưa điều trị tủy trước đó.
- Gây đau nhức kéo dài, phải điều trị tủy sau đó mới phục hình lại, lại làm phát sinh thêm chi phí điều trị.
Viêm nướu, tụt lợi
- Bọc lại răng không đúng khớp cắn khiến hai hàm không khít nhau.
- Gây đau khớp hàm, mỏi cơ hàm, khó nhai và lâu dài có thể ảnh hưởng đến cấu trúc toàn hàm.
Mức giá khi tháo răng sứ làm lại
Giá tháo răng sứ để làm lại phụ thuộc vào nhiều yếu tố như loại răng sứ, tình trạng răng miệng, và nha khoa thực hiện. Thông thường, chi phí này có thể dao động từ 1.000.000 VNĐ đến 14.000.000 VNĐ/răng. Cụ thể hơn:

Mức giá khi tháo răng sứ làm lại
Chi phí tháo răng sứ cũ: Dao động theo số lượng răng và mức độ phức tạp từ 200.000 – 1.200.000 VNĐ/răng. Có một vài đơn vị nha khoa sẽ hỗ trợ phần chi phí này.
Chi phí làm răng sứ mới: Dao động từ 1.000.000 – 12.000.000 VNĐ/răng. Có thể bảo hành từ 5 – 15 năm tùy loại răng sứ.
Các chi phí khác có thể phát sinh: Chụp X-quang kiểm tra, điều trị tủy hoặc ghép nướu nếu tụt lợi.
Một số lưu ý khi tháo răng sứ làm lại
Chọn nha khoa uy tín
Việc tháo răng sứ đòi hỏi kỹ thuật cao để tránh làm tổn thương cùi răng thật bên trong. Nếu thao tác không chuẩn xác, có thể gây vỡ răng thật, viêm tủy, thậm chí mất răng vĩnh viễn.
Shinbi Dental là một sự lựa chọn uy tín cao khi thực hiện các ca tháo răng sứ làm lại. Với đội ngũ bác sĩ dày dặn kinh nghiệm, có chuyên môn cao cùng với hệ thống trang thiết bị hiện đại có thể tự tin giải quyết các vấn đề nha khoa đặc biệt là việc tháo răng sứ làm lại.
Kiểm tra tình trạng răng thật trước khi làm lại
Việc tháo răng sứ làm lại bao nhiêu tiền còn phụ thuộc vào tình trạng răng thật khi bạn làm lại.
Bác sĩ cần kiểm tra kỹ lưỡng tình trạng răng sứ cũ, cùi răng bên trong, mô nướu và các vấn đề như hôi miệng, viêm lợi, sâu răng hoặc viêm tủy. Nếu cần thiết, bạn có thể phải điều trị dứt điểm trước khi làm lại răng mới.
Hạn chế làm lại quá nhiều lần
Mỗi lần tháo lắp lại có thể ảnh hưởng đến độ cứng và cấu trúc răng thật. Về lâu về dài có thể gây tổn thương răng vĩnh viễn dẫn tới cần phải cấy ghép Implant gây tốn kém nhiều chi phí hơn.

Một số lưu ý khi tháo răng sứ làm lại
Câu hỏi thường gặp khi tháo răng sứ làm lại
Tháo răng sứ làm lại có đau không?
Quá trình tháo răng sứ được thực hiện bằng dụng cụ chuyên dụng, bác sĩ sẽ thao tác nhẹ nhàng nên hầu như không gây đau. Trong trường hợp có viêm, đau nhức trước đó thì bác sĩ sẽ gây tê để đảm bảo bạn thoải mái.
Có phải mài răng lại khi bọc răng sứ mới không?
Trong đa số trường hợp không cần mài thêm, trừ khi răng sứ cũ làm sai kích thước hoặc răng trụ đã thay đổi. Bác sĩ sẽ đánh giá kỹ để giữ tối đa mô răng thật.
Sau khi tháo răng sứ có phải bọc lại ngay không?
Còn tùy trường hợp, Nếu răng bị viêm, chết tủy, tụt lợi… bác sĩ có thể cần thời gian điều trị trước khi bọc lại để đảm bảo an toàn và bền lâu.
Kết luận
Việc tháo răng sứ làm lại bao nhiêu tiền là một vấn đề mà đại đa số mọi người từng làm răng sứ đều đặt ra. Việc này phụ thuộc và tình trạng răng của bạn khi làm lại, các loại răng sứ bạn lựa chọn cũng như địa chỉ nha khoa để bạn thực hiện thủ thuật này. Với Shinbi Dental, Chúng tôi tự tin mang tới cho bạn một trải nghiệm dịch vụ tốt nhất với mức giá phải chăng nhất.










